ПОСТТРАВМАТИЧЕСКОЕ СУЖЕНИЕ И ЗАРАЩЕНИЕ МОЧЕИСПУСКАТЕЛЬНОГО КАНАЛА
ТЕРМИНОЛОГИЯ
Анастомоз - линия сшивания двух трубчатых органов.
Посттравматическая - появившаяся в результате травмы.
Стеноз - сужение.
Облитерация - заращение.
Уретра - мочеиспускательный канал.
Уретроррагия - кровотечение из мочеиспускательного канала.
Уретротомия - рассечение мочеиспускательного канала.
Трансуретрально - через мочеиспускательный канал.
ЧТО ТАКОЕ ПОСТТРАВМАТИЧЕСКАЯ СТРИКТУРА (ОБЛИТЕРАЦИЯ) УРЕТРЫ?
Посттравматическая стриктура (облитерация) уретры - это рубцовое сужение (заращение) мочеиспускательного канала в результате перенесенной травмы.
ЧЕМ ОПАСНА СТРИКТУРА (ОБЛИТЕРАЦИЯ) УРЕТРЫ
При сужении мочеиспускательного канала во время акта мочеиспускания мочевой пузырь испытывает дополнительную нагрузку, для преодоления препятствия он вынужден развивать избыточное давление, что может привести к серьезным осложнениям. Высокое внутрипузырное давление может приводить к возникновению так называемого пузырно-мочеточникового рефлюкса - заброса мочи из мочевого пузыря в мочеточники и почки. Кроме того, повышенное сопротивление, испытываемое мочеточниками при эвакуации мочи в мочевой пузырь, приводит к застою мочи и повышению давления в верхних мочевых путях. И, наконец, с течением времени эвакуаторная функция мочевого пузыря, работающего с повышенной нагрузкой, декомпенсируется, что приводит к его неполному опорожнению во время акта мочеиспускания. Все вышеперечисленные застойные явления пагубно отражаются на состоянии почек: не происходит своевременной эвакуации проникающей в мочевые пути микробной флоры, которая вызывает хроническое воспаление почек (пиелонефрит), повышенное давление в почечной лоханке вызывает нарушение почечного кровообращения. Исходом хронического воспаления и нарушения почечного кровообращения является рубцевание почечной ткани с угнетением функции (вторичное сморщивание почки, нефросклероз). Помимо этого, у мальчиков часто развивается воспаление яичек, так как из-за избыточного давления, которое развивает мочевой пузырь для «продавливания» мочи через суженный участок, происходит заброс инфицированной мочи в семявыносящие протоки. При облитерации уретры мочеиспускание через естественные мочевые пути невозможно, таким больным моча отводится через цистостому - мочевой свищ, формируемый в надлобковой области, в который устанавливается дренажная трубка.
ПРИЧИНЫ РАЗВИТИЯ СТРИКТУР И ОБЛИТЕРАЦИЙ УРЕТРЫ
Наиболее частой причиной образования стриктур и облитераций мочеиспускательного канала является травма органа при переломах костей таза, реже - при падении на промежность. Травмы мочеиспускательного канала у девочек наблюдаются значительно реже, чем у мальчиков. Это объясняется большей подвижностью и эластичностью мочеиспускательного канала у девочек. Кроме того, сужения мочеиспускательного канала возможны в результате хирургических травм, после проктологических, гинекологических, урологических операций, а также после инструментальных исследований, сопровождающихся повреждением уретры. В месте разрыва мочеиспускательного канала формируется кольцевидный рубец, частично или полностью перекрывающий просвет органа.
КАК ПРОЯВЛЯЕТСЯ СТРИКТУРА УРЕТРЫ?
При сужении мочеиспускательного канала отмечаются затрудненные мочеиспускания вялой струей или по каплям. При облитерации возникает задержка мочеиспускания.
КАК УСТАНАВЛИВАЕТСЯ ДИАГНОЗ?
(Подробное описание диагностических методик см. в разделе «Методы обследования»)
Диагноз собственно травмы уретры, как правило, очевиден. При этом отмечается уретроррагия - выделение крови из мочеиспускательного канала. При разрыве органа, обычно не удается провести катетер в мочевой пузырь.
После формирования сужения (заращения) диагностика включает подтверждение факта сужения, определения его протяженности и локализации, что имеет непосредственное значение для определения тактики и выбора метода лечения.
Подозрение на посттравматическую стриктуру возникает во всех случаях, когда затрудненные мочеиспускания появляются по прошествии некоторого времени после перенесенного перелома костей таза, падения на промежность, внутриуретральных манипуляций, например, после катетеризации мочевого пузыря, а также у детей, перенесших операции на мочеиспускательном канале, прямой кишке, влагалище.
Объективизировать данные позволяют измерение скорости мочеиспускания, уретроцистография, уретроцистоскопия.
У пациентов с сохранившимся актом мочеиспускания скорость потока мочи всегда значительно снижена.
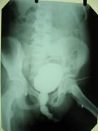
На цистограммах, выполненных во время мочеиспускания, отмечается значительное расширение мочеиспускательного канала над препятствием (рис. 1).
![]() |
Рис. 1. Цистограмма больного с посттравматическим сужением мочеиспускательного канала (указано стрелкой). Отмечается значительное расширение вышележащих отделов уретры. |
При заращении уретры, когда естественное мочеиспускание невозможно, протяженность зоны облитерации определяется при «встречной» уретроцистографии, когда контрастное вещество вводится в цистостому, а во время акта мочеиспускания контрастом заполняется и передние отделы мочеиспускательного канала. При этом непрокрашенный отдел уретры и соответствует зоне облитерации (рис. 2).
| Рисунок 2. Встречная уретроцистография ребенка с облитерацией уретры. Слева - мочевой пузырь и задний отдел мочеиспускательного канала туго заполнен. Справа - в передний отдел уретры введено контрастное вещество. Дефект соответствует зоне облитерации. |
Дополнительную информацию о состоянии нижних мочевых путей позволяет получить уретроцистоскопия. При осмотре области сужения оценивается диаметр просвета. При заращении мочеиспускательного канала мочевой пузыря и начальные отделы уретры осматриваются через надлобковый цистостомический свищ. Это позволяет обнаружить камни в мочевом пузыре и начальных отделах мочеиспускательного канала, оценить степень смыкания внутреннего отверстия уретры для прогнозирования возможного недержания мочи после восстановления проходимости органа.
МЕТОДЫ ЛЕЧЕНИЯ, ИСПОЛЬЗУЕМЫЕ В РДКБ
Проблема лечения стриктур уретры остается одной из наиболее сложных в урологии, о чем свидетельствует высокий процент осложнений и рецидивов, многократные повторные операции, далеко не единичные случаи отведения мочи в кишечник после безуспешных попыток реконструкции уретры. «Открытые» хирургические вмешательства весьма травматичны, сложны в исполнении, нередко приводят к недержанию мочи и импотенции. Связано это с тем, что при выделении области стриктуры, расположенной глубоко в промежностных тканях, травмируются сосуды и нервные окончания, влияющие на эректильную функцию, мышцы, отвечающие за удержание мочи. Глубокая и узкая операционная рана в значительной степени затрудняет наложение качественного анастомоза уретры. В связи с вышеизложенным в нашем отделении профессором Николаевым В. В. разработан комплекс трансуретральных методов лечения, включающих, помимо известных эндоскопических, оригинальные способы восстановления проходимости уретры при помощи компрессионных устройств. Последние применяются нами и у детей, подвергающихся открытым хирургическим вмешательствам. В этих случаях они позволяют наложить качественный анастомоз уретры.
ТЕХНИКА ТРАНСУРЕТРАЛЬНЫХ СПОСОБОВ ВОССТАНОВЛЕНИЯ ПРОХОДИМОСТИ УРЕТРЫ
Трансуретральными мы называем такие способы лечения стриктур уретры, которые не связаны с открытым выделением концов уретры. В своей работе мы используем 4 трансуретральных метода: 2 эндоскопических (эндоскопическую уретротомию, трансуретральную электрорезекцию рубцов), удаление рубцов компрессионными элементами и формирование обходных компрессионных анастомозов. Используются трансуретральные методы при стенозах длиной до 1,5 см и облитерациях до 1 см.
Внутренняя оптическая уретротомия. Метод рассечения стриктур под эндоскопическим контролем известен под названиями «внутренняя оптическая уретротомия» или «эндоскопическая уретротомия».
Эндоскопическую уретротомию мы используем в качестве основного лечебного метода при сформированных коротких стенозах уретры.
Операции проводятся под масочным наркозом с использованием детских уретротомов (операционных цистоскопов специальной конструкции) фирмы «STORZ» (Германия). Задачей уретротомии является полное восстановление просвета органа, для чего наносятся одиночные или множественные разрезы суженной зоны (рис. 3).
| Рис. 3. Внутренняя оптическая уретротомия. Через просвет стриктуры проведен мочеточниковый катетер. |
Трансуретральная резекция рубцов - вспомогательный метод по отношению к эндоскопической уретротомии. Применяем его в тех случаях, когда рассечения стриктуры оказывается недостаточно для полного восстановления просвета органа. Процедура выполняется с помощью специального эндоскопического аппарата - резектоскопа, снабженного электрической петлей для срезания тканей.
Удаление рубцов компрессионными элементами. Способ удаления рубцов, суживающих уретру, применяется при выраженных стенозах уретры с использованием механического компрессионного устройства (рис. 4).
| Рис. 4. Общий вид компрессионного устройства. |
По уретре в мочевой пузырь проводится гибкий осевой элемент (леска) устройства, извлекаемый через цистостому при помощи крючка (рис. 5 - А). Тракцией за конец нити, выведенной через цистостому, дальний компрессионный элемент подводится к стриктуре. Ближний компрессионный элемент низводили по осевому элементу до упора при помощи гибкой трубки (рис. 5 – Б).
| Рис. 5. Удаление уретральных рубцов компрессионными элементами. Объяснение в тексте. |
Сдавление рубца производится в 2-3 этапа (7-12 суток), после чего наступало его отторжение. После удаления компрессионного устройства, на 7-10 дней в уретре остается силиконовый катетер.
Обходной компрессионный анастомоз (ОКА) уретры. Обходной компрессионный анастомоз разработан для лечения коротких облитераций и стенозов начальных отделов уретры, непроходимых для уретерального катетера. По уретре к краю стриктуры подводится изогнутый металлический катетер со стилетом. Клюв катетера сопоставляется с пальцем, введенным в шейку мочевого пузыря, в обход рубцов. Под контролем пальца стилетом прокалываются стенки обоих обрывков уретры и рабочий конец стилета извлекается через отверстие в мочевом пузыре (рис. 5-А). Вслед за стилетом проводится осевой элемент, при помощи которого к месту анастомоза транспортируются компрессионные элементы. Операция заканчивается восстановлением цистостомы. Привод компрессионного устройства выводится рядом с цистостомической трубкой (рис. 5-Б).
| Рис. 6. Формирование обходного компрессионного анастомоза уретры. |
Компрессионные элементы в течение первых 2 суток сближаются до расстояния 1-2 мм и удерживаются в таком положении в течение 6-7 суток. Затем создается максимальная компрессия, которая приводит к отторжению сдавленных тканей. Компрессионные элементы извлекаются через цистостому на 10-1-е сутки вместе с цистостомической трубкой, в уретре остается катетер на 7-10 дней.
В послеоперационном периоде для профилактики рецидива стриктуры проводится катетеризация уретры в индивидуальном режиме до завершения эпителизации раневых поверхностей (от 3 до 6 месяцев в зависимости от протяженности стриктуры и применявшегося метода лечения).
ХИРУРГИЧЕСКИЕ МЕТОДЫ ВОССТАНОВЛЕНИЯ ПРОХОДИМОСТИ УРЕТРЫ
При хирургическом восстановлении задней уретры также используется компрессионное устройство, только устанавливается оно после иссечения рубцов в области стеноза и выделения концов мочеиспускательного канала (рис. 8).
| Рис. 7. Открытый компрессионный анастомоз при облитерации задней уретры. А - облитерация участка задней уретры. Б - обнажены концы уретры, в заглушенные концы уретры установлены компрессирующие элементы на осевой леске. В - компрессирующие элементы сопоставлены, фиксированы зажимом на леске. |
РЕЗУЛЬТАТЫ ЛЕЧЕНИЯ ПОСТТРАВМАТИЧЕСКИХ СТРИКТУР УРЕТРЫ
Суммарная эффективность лечения посттравматических стриктур уретры у детей в РДКБ составляет 96% (рис. 8, 9).
| Рис. 8. Положительный результат эндоскопическоголечения у ребенка со стенозом бульбозной уретры. А - цистограмма до эндоскопического вмешательства. Б - цистограмма через год после оптической уретротомии. Отмечается умеренное остаточное расширение задней уретры над областью уретротомии. | |
| Рис. 9. Результат компрессионного анастомоза у ребенка с облитерацией задней уретры. А - до вмешательства. Б - через 1 год после вмешательства. | |
